Cụ thể, đơn vị Phẫu thuật tim mạch - Lồng ngực – Trung tâm Tim mạch phẫu thuật cấp cứu thành công cho người bệnh bị vỡ phình động mạch thận trái cho ông Hoàng V. I.
Ông I. nhập viện trong tình trạng đau dữ dội mạn sườn trái, kèm theo dấu hiệu sốc và ngay lập tức được siêu âm, chụp cắt lớp vi tính bụng thì phát hiện vỡ phình động mạch thận trái.
    |
 |
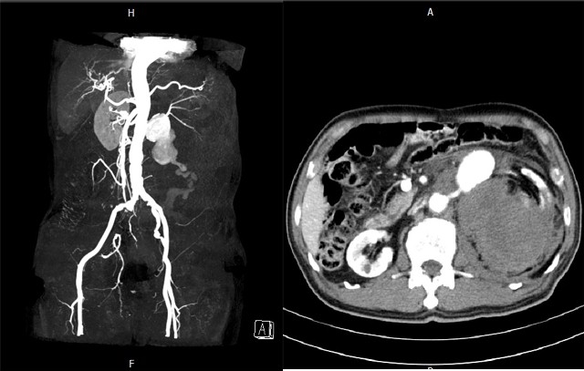
| Hình ảnh vỡ phình động mạch thận trái của người bệnh. |
Tình trạng sốc tăng dần, huyết áp tối đa còn 50 mmHg. Người bệnh được tiến hành các biện pháp hồi sức cấp cứu tích cực. Khởi động hệ thống báo động đỏ hội chẩn toàn bnh viện.
Người bệnh được chỉ định phẫu thuật cấp cứu khống chế, lấy bỏ khối phình và thắt động mạch thận trái, lấy khoảng 2000ml máu tụ sau phúc mạc. Đây là một ca phẫu thuật khó do phình động mạch thận vỡ nên khối máu tụ rất lớn sau phúc mạc, làm mất giải phẫu nên việc phẫu tích khống chế mạch rất khó khăn, nếu để vỡ khối máu tụ ra ổ bụng thì bệnh nhân có thể chết ngay trên bàn mổ. Tuy nhiên sau hơn 2h đồng hồ, ca phẫu thuật đã thành công.
Sau phẫu thuật, người bệnh được chuyển sang điều trị tại khoa Hồi sức tích cực – Chống độc. Hiện, tại tình trạng người bệnh ổn định, chuẩn bị được ra viện.
    |
 |
| Sức khỏe của người bệnh đã ổn định, chuẩn bị được ra viện. |
BS Dương Xuân Phương – Đơn vị Phẫu thuật Tim mạch, Lồng ngực cho biết: Phình động mạch thận là một bệnh lý hiếm gặp, chiếm tỉ lệ 0.015- 0,09% dân số. Là tình trạng thành động mạch thận bị giãn không hồi phục với đường kính lớn hơn 50% so với đường kính bình thường.
Phình động mạch thận cũng như phình động mạch nói chung nếu không được điều trị thì luôn có xu hướng to lên và có thể dẫn tới các biến chứng như chèn ép các cơ quan xung quanh, nhiễm khuẩn, vỡ túi phình...
Đối với bệnh lý phình động mạch thận, vỡ túi phình vào khoang sau phúc mạc là tai biến nguy hiểm nhất, bệnh nhân sẽ bị chảy máu ồ ạt, nguy cơ tử vong cao.
Phình động mạch thận là bệnh lý hiếm gặp, vỡ phình động mạch thận thì vô cùng hiếm gặp trên Thế giới. Tại Việt Nam chưa có báo cáo nào, trên thế giới chỉ có vài trường hợp.
Các bác sĩ khuyến cáo người dân: Phình động mạch thận ít triệu chứng, người bệnh thường tình cờ phát hiện khi làm siêu âm, chụp cắt lớp vi tính bụng. Vì vậy, khám sức khỏe định kỳ là cách tốt nhất giúp người dân phát hiện bệnh và có biện pháp điều trị kịp thời.